審美的な要件

前歯部 単冠の補綴では象牙質の明度と必要なキャラクタライズを最小限に
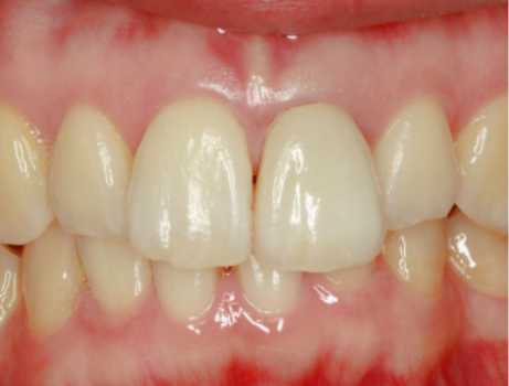
左上1番の試適時の画像。
適合はしているとの事です。セラミックでの前歯部単独の症例ですが、こういったケースでは色を合わせるという事が非常に重要になりますが、当然適合をはじめとした補綴物に必要な要件は満たさないとなりません。
特に象牙質の明度が合っていないと色に違和感を感じます。また、前歯部に見られる特徴やキャラクタライズを最小限付与する事はとても大事な事です。
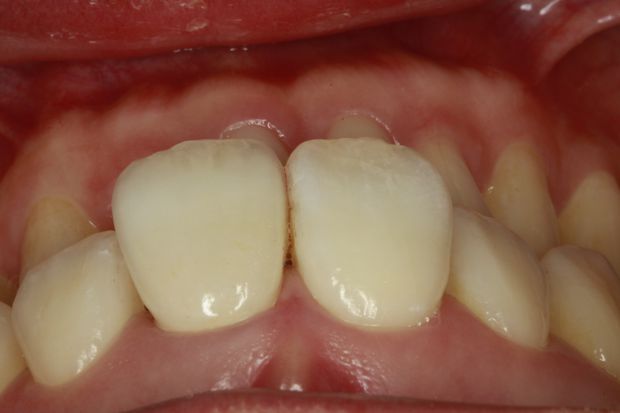
何より補綴物で一番違和感を感じてしまう要素は形態です。審美補綴を成功させるためには形態に対する意識を高め事が絶対条件と言っても過言ではありません。
最近のはやりなのか、前歯部でもモノリシッククラウンが使われるようになってきましたが、場合によっては選択ミスと思われるケースを目にすることもあります。

以前は合わせようとしすぎてやりすぎた感が出てしまうことが多かったけど、これくらいのわずかに控えめな感じがいい気がします。

