自費専門ラボであるという事
自費補綴に求められるものは?
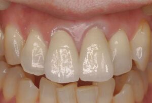
補綴物にはそれぞれ求められる「要件」があります。それを高い次元でクリアしなければ自費補綴の意味がありません。どんなに審美的に優れた補綴物でも、機能的要件を満たしていなければ、近い将来患者さんをがっかりさせる結果となる事があります。何をもって良い補綴物なのかも人によって判断が変わる事があります。
ロジックでは補綴に大切な「要件」に基準をもって提供していきます。
確実なものを提供していく事
歯科業界を取り巻く環境もどんどんと進化や変化が起きています。少しづつではありますが、患者さんの意識も変わってきているのではないでしょうか?
新しいものと、これまでのもの。確実な物だけを患者さんに提供していく。それが歯科医院の信頼に繋がっていくのではないでしょうか。
ロジックではそのお手伝いが出来ると確信しております。
「補綴物はどうあるべきだろう?」「もっと患者さんに補綴をアピールできないか?」「補綴物で近隣他院と差別化を図れないか?」
補綴物は患者さんが治療の結果を確認しやすい所でもあります。「患者さんは分からない」ではなく「患者さんに分かってもらえる」補綴物が、歯科医療の信頼に繋がっていくと感じています。
Products

インプラント補綴
単独のケースからフルマウスまで。インプラント補綴は現在の補綴治療の1オプションとして十分に認知されています。
既成のアバットメントからカスムアバットメント、上部構造の設計など技工士に求められる知識や技術も高いものでなければなりません。

その他
ハイブリットレジン
その他補綴物
診断用ワックスアップ/基礎資料製作
サンプル製作
シェードテイク
blog→








