インプラント補綴

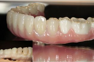
サブストラクチャー

インプラントをサブストラクチャー(下部構造)で連結固定し、上部は支台歯形成されたフレーム上に各マテリアルで製作されたクラウンを単冠で合着します(または仮着) トラブルに対して1歯単位で対応できる事が最大のメリットです。

近年はジルコニアが割れないためこの様な設計をしなくなりましたが、対合歯が天然歯の場合、ジルコニアは調整し続けなければなりません。そういった考え方から、外せる状態で研磨できることはメリットとして考える事が出来ます。 

しかし、技工料金が高くなることがデメリットではありますが・・・

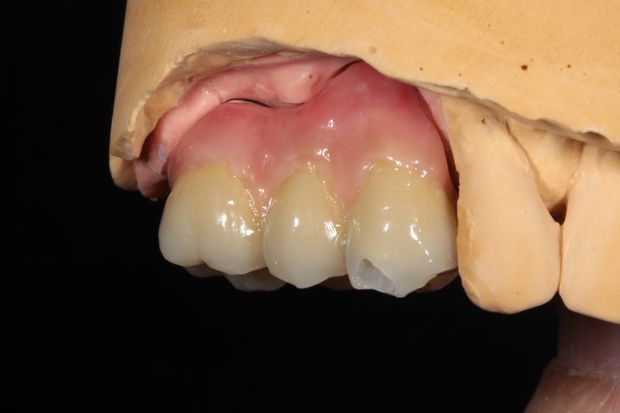
上部構造

一言で上部構造と言っても下部構造から考えると補綴方法やマテリアルなど多岐にわたります。

また、必ずしも理想的な位置にインプラントが埋入できるとは限りません。インプラントの埋入位置や縁下形態にとらわれえず、歯冠形態を作るためにガム形態を付与する事は上部と下部での機能と審美の両立が可能となります。 

ワンパターンになりがちな設計も踏み込んでみると考え方が変わるかもしれません。そのためには審査・診断・設計がとても重要となります。 

ロジックでは基礎資料製作のお手伝いも行っております。